Bunions (Hallux Valgus) – Symptoms, Causes and Treatments

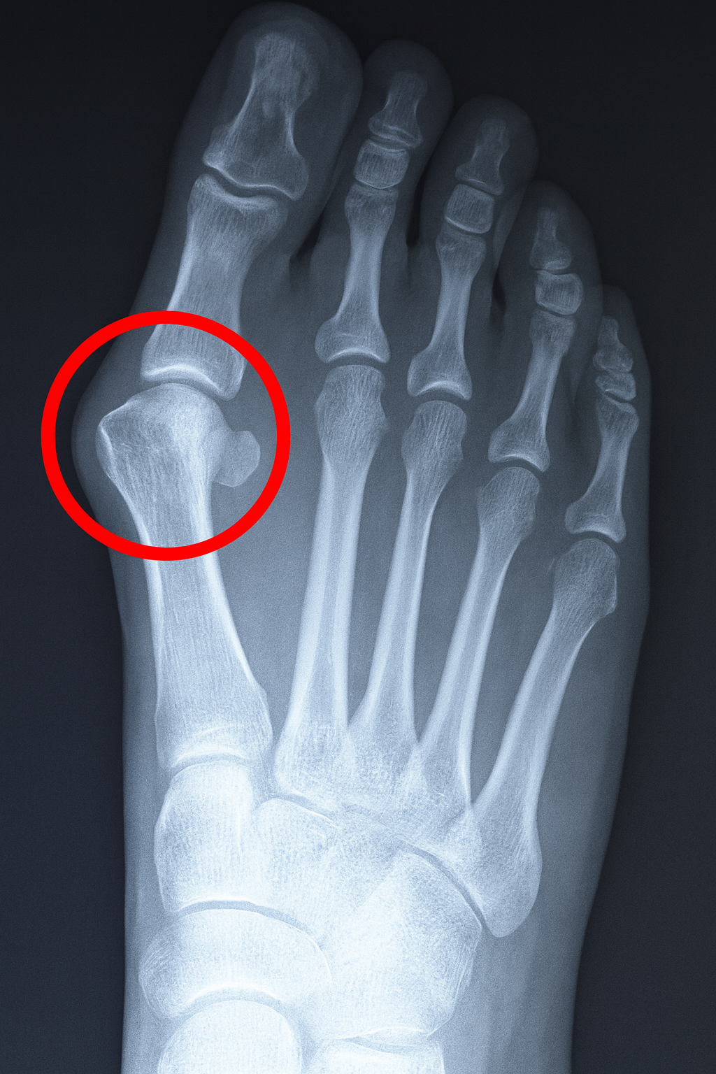
BunionA bunion is a growth resulting from an enlargement of the joint at the side of the big toe. Bunions are formed when the big toe is bent inwards and a bony lump forms on the outside of the joint. Over time, the lump becomes larger and the bunion can become painful. As a result, arthritis and stiffness can often develop. Additionally, this condition can worsen when callous and corns develop on the bunion.

While the term bunion refers to the enlarged joint, Hallux valgus is a Latin term that refers to the deviation of the big toe that results from this enlargement.

Bunion X-RayBunions: Common Causes

The most common cause for bunions is wearing footwear that is too tight, thus causing the toes to be tightly squeezed together. Another common cause for bunions is poor foot mechanics, such as excessive pronation (rolling inwards of the foot), which causes a medial force which exerts pressure that can lead to the formation of bunions.

Treatments for Bunions

There are several options for the treatment of bunions. For example, for women who wear high heels, this condiiton is particularly frequent. Our Catwalk orthotics for high heels can help prevent the formation of bunions by restoring our normal foot function and controlling excess pronation. The metatarsal support provided by our insoles reduces pressure and friction on the big toe joint, helping to prevent further bunion development.

Aside from women wearing high heels, men wearing traditional footwear can also suffer from bunions resulting from excessive pronation of the feet. To help reduce the incidence of this condition, Footminders Casual orthotics for casual footwear, or our Comfort orthotics for sports shoes can provide the needed support.

Recommended Footmiders orthotic insoles for prevention and treatment of bunions are:

Footminders Casual Orthotic Insoles

 

Footminders
Casual

Footminders Comfort Orthotic Insoles

 

Footminders
Comfort

Footminders Catwalk Orthotics

 

Footminders
Catwalk

Order Online Secure